IRCRehberi.Net- Türkiyenin En iyi IRC ve Genel Forum Sitesi  
 sohbet
Sohbet chat


Güncel ve Son Dakika Haberler Güncel ve Son Dakika Haberler

 
 
Seçenekler Stil
Alt 30 Kasım 2023, 17:58   #1
Banlı Üye
BugsBunny - ait Kullanıcı Resmi (Avatar)

Standart Özel hastanedeki doğumda skandal! Annenin vücudunda unuttular, 2 yıl sonra fark edildi

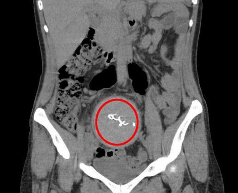
Antalya’da Y.S.’nin (32) 2 yıl önce doğum yaptığı özel hastanede vücudunda unutulan yaklaşık 30 santimetrelik gazlı bez, yaşadığı ağrılar nedeniyle gittiği hastanede çekilen tomografide ortaya çıktı ve ameliyatla alındı. Büyük şok yaşayan genç kadın, hastane ve doktor aleyhine dava açmaya hazırlanıyor. Konudan yeni haberdar olan hastane yönetimi ise iddiayı incelediklerini bildirdi.

Antalya’da yaşayan Y.S., 2021 yılında kızını dünyaya getirmek için özel bir hastanede doğuma girdi. Burada sezaryen ile doğumu gerçekleştirilen Y.S., taburcu edildiği gün yaşadığı kusma ve ağrı şikayetiyle tekrar aynı hastaneye başvurdu. Bağırsaklarında yaşadığı sıkıntı nedeniyle 12 gün hastanede yatan Y.S. yeni dünyaya getirdiği bebeğinden de ayrı kaldı. Annesinin emziremediği bebek, mama ile beslendi.

Özel hastanedeki doğumda skandal! Annenin vücudunda unuttular, 2 yıl sonra fark edildi

Hastaneden taburcu edilen Y.S.’nin bu sefer de dikişlerinden iltihap akmaya başladı. Tekrar başvuran Y.S.’ye doğumunu yaptıran doktoru D.A. iddiaya göre ‘durumun normal olduğunu ve iltihabın zamanla biteceğini’ söyledi. Hastaneden ayrılan Y.S.’nin 2 yıl boyunca ara ara ağrıları ve iltihap akıntısı devam etti. Bu süre zarfında başvurduğu hastanelerden bir sonuç alamayan genç kadın, ağrıyla geçen 2 yılın ardından 2 ay önce Antalya Eğitim ve Araştırma Hastanesi’ne başvurdu.

Özel hastanedeki doğumda skandal! Annenin vücudunda unuttular, 2 yıl sonra fark edildi

İHMAL YÜZÜNDEN 2 YIL AĞRI ÇEKTİ

Burada yapılan kontrolde doktor acil tomografi çektirmesini istedi. Çekilen tomografide Y.S.’nin vücudunda doğum sonrası unutulan sargı bezi görüldü. Büyük şok yaşayan Y.S., 2 yıldır yaşadığı ağrılara ihmalin sebep olduğunu öğrendi. Y.S.'nin karnında unutulan yaklaşık 30 santimetre uzunluğundaki gazlı bez ameliyatla çıkarıldı. Y.S., hastane ve doktor hakkında hukuki süreci başlatması için avukatı Hasret Baş’a başvurdu.

Özel hastanedeki doğumda skandal! Annenin vücudunda unuttular, 2 yıl sonra fark edildi

DOKTOR İLTİHAP İÇİN ‘NORMAL’ DEDİ

Çok zor günler yaşadığını belirten Y.S., 2 yıl boyunca ağrılarının ve ara ara iltihap akışının devam ettiğini söyledi. Y.S., “Farklı hastanelere de başvurdum ancak kimse bir teşhis koyamadı. En son Antalya Eğitim ve Araştırma Hastanesi’ne başvurdum. Burada bana doğum sırasında vücudumda sargı bezi kaldığı söylendi. İlk doğum yaptığımda 10 gün boyunca ağrılarım yüzünden çocuğumu kucağıma bile alamamıştım" diye konuştu.

Özel hastanedeki doğumda skandal! Annenin vücudunda unuttular, 2 yıl sonra fark edildi

‘MADDİ VE MANEVİ DAVA AÇACAĞIZ’

Konuyla ilgili adli süreci başlatmak için dosyalarını hazırladıklarını söyleyen Avukat Hasret Baş, “Ameliyathanedeki doktor ve hemşire tarafından ameliyat öncesi sayım yapılır sonrasında yine sayım yapılıp kapatılmış olsaydı bu olay yaşanmayacaktı. İçerisinde gazlı bez unutulan müvekkilim 2 yıl boyunca çok ağır sağlık sorunlarıyla karşılaştı. Adli makamlara intikal ettireceğiz" dedi.

Özel hastanedeki doğumda skandal! Annenin vücudunda unuttular, 2 yıl sonra fark edildi

Konudan yeni haberdar olduklarını belirten hastane yönetimi ise iddiayı incelediklerini bildirdi. Konuyla ilgili yorum yapmayacaklarını belirten yönetim, inceleme sonrasında gerek görülürse açıklama yapılacağını ifade etti.

Özel hastanedeki doğumda skandal! Annenin vücudunda unuttular, 2 yıl sonra fark edildi

Kaynak [Üye Olmadan Linkleri Göremezsiniz. Lütfen Üye Olmak için TIKLAYIN...]
 


Konuyu Toplam 1 Üye okuyor. (0 Kayıtlı üye ve 1 Misafir)
 

Yetkileriniz
Konu Acma Yetkiniz Yok
Cevap Yazma Yetkiniz Yok
Eklenti Yükleme Yetkiniz Yok
Mesajınızı Değiştirme Yetkiniz Yok

BB code is Açık
Smileler Açık
[IMG] Kodları Açık
HTML-Kodu Kapalı
Trackbacks are Kapalı
Pingbacks are Kapalı
Refbacks are Kapalı





Tüm Zamanlar GMT +3 Olarak Ayarlanmış. Şuanki Zaman: 03:57.